02-593-0052
지역별 병의원 안내
서초본원
캘리포니아점
병원소개
장덕한방병원 소개
의료진소개
병원둘러보기
진료장비
찾아오시는 길
지역별 병의원 안내
통합치료센터
어깨센터
회전근개파열
석회성건염
오십견
충돌증후군
근막통증증후군
어깨수술 후 통증
관절와순파열
팔꿈치통증
습관성 탈구
팔근력저하증
무릎족부센터
퇴행성관절염
족저근막염
지간신경종
발목관절통
발바닥통증
전방십자인대손상
후방십자인대손상
내측흑부인대손상
외측측부인대손상
반월상연골판손상
연골연화증
추벽증후군
슬관절 주위의 점액낭염
고관절통증
척추센터
허리디스크
퇴행성디스크
척추관협착증
척추측만증
척추전방전위증
허리수술 후 통증
목디스크
일자목
경추수술 후 통증
도수운동센터
피부성형센터
주름·흉터
색소
볼륨ㆍ탄력
스킨부스터
리프팅
다이어트·항노화
뇌건강센터
이명
어지럼증
두통
파킨슨병
구안와사
뇌전증
뇌졸증
치매센터
건망증
수면장애
ADHD
치료사례
어깨호전사례
족부호전사례
자필치료후기
동영상치료후기
문의·예약
예약안내
재진주치의 진료일정표
온라인문의
자주묻는 질문
고객서비스
진료시간안내
초진절차안내
재진절차안내
증명서류안내
비급여항목
병원소식
방송보도
언론보도
로그인
진료예약
1:1문의
홈 > 호전사례 > 족부호전사례
간편한 로그인을 통해
나와 비슷한 치료사례를 확인해보세요.
의료법에 의거하여 로그인 후 보실 수 있습니다.
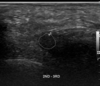
43세
남성 지간신경종
Before
2019.12.23
After
2020.03.18
간편한 로그인을 통해
나와 비슷한 치료사례를 확인해보세요.
의료법에 의거하여 로그인 후 보실 수 있습니다.
64세
여성 족저근막염
Before
2018.05.19
After
2018.12.20
간편한 로그인을 통해
나와 비슷한 치료사례를 확인해보세요.
의료법에 의거하여 로그인 후 보실 수 있습니다.
50세
여성 지간신경종
Before
2019.11.30
After
2020.02.14
제목
내용
작성자ID
작성자명
21
22
23
24
25
26
27
28
29
30